10 motivi fondamentali per fare una visita dentistica almeno una volta all’anno
Perché è importante fare una visita dentistica regolarmente
Molte persone prenotano una visita dal dentista solo quando compare dolore. In realtà questo comportamento può portare a problemi più seri e a cure più complesse. La salute della bocca, proprio come quella di qualsiasi altra parte del corpo, richiede controlli periodici per mantenersi nel tempo.
Effettuare una visita dentistica regolarmente permette infatti di individuare eventuali problemi quando sono ancora nelle fasi iniziali, rendendo i trattamenti più semplici, meno invasivi e spesso anche meno costosi.
Nel nostro studio dentistico a Sinalunga ricordiamo sempre ai pazienti che la prevenzione rappresenta il modo migliore per mantenere denti e gengive sani per tutta la vita.
Prendersi cura della propria salute orale non significa soltanto avere un bel sorriso, ma anche proteggere il benessere generale dell’organismo.
La prevenzione: il segreto per denti sani nel tempo
Uno degli aspetti più importanti della visita odontoiatrica è la prevenzione. Molte patologie dentali, infatti, nelle fasi iniziali non causano dolore o sintomi evidenti.
Ad esempio, una carie può avere un esordio silenzioso e svilupparsi lentamente senza essere percepita dal paziente. Lo stesso vale per alcune malattie delle gengive, che possono progredire per mesi prima di manifestarsi con segnali più evidenti.
Durante una visita di controllo il dentista può individuare precocemente diversi problemi, tra cui:
- carie iniziali
- infiammazione delle gengive
- accumulo di placca e tartaro
- usura dei denti
- problemi di occlusione
- eventuali infiltrazioni sotto vecchie otturazioni
Individuare questi problemi in anticipo consente di intervenire tempestivamente, evitando trattamenti più complessi.
Per questo motivo la prevenzione è sempre la strategia migliore quando si parla di salute dentale.

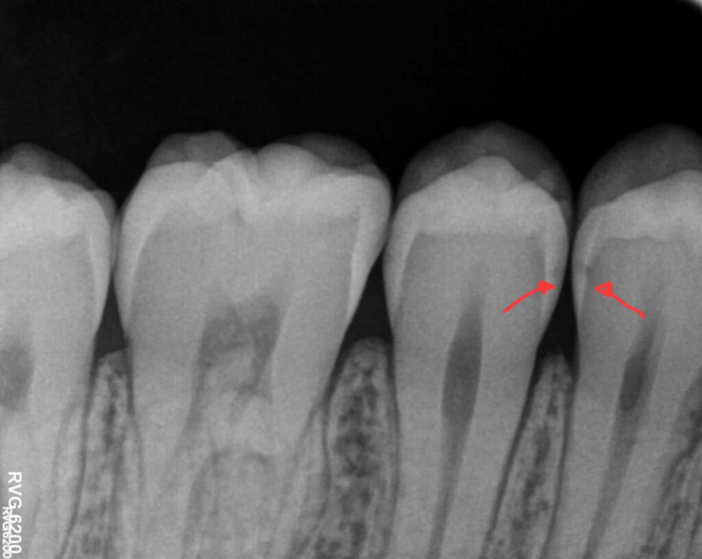
L'importanza della visita dentistica effettuata regolarmente: lesioni cariose allo stadio iniziale
Ogni quanto è consigliato fare una visita dal dentista?
Una delle domande più frequenti dei pazienti riguarda la frequenza dei controlli odontoiatrici.
In generale si consiglia di effettuare una visita dentistica almeno una volta all’anno. Tuttavia, in alcuni casi il dentista può suggerire controlli più frequenti, soprattutto quando sono presenti condizioni che richiedono un monitoraggio più attento.
Ad esempio è consigliabile effettuare visite più ravvicinate quando:
- si soffre di gengivite o parodontite
- si è soggetti a carie frequenti
- si portano apparecchi ortodontici
- sono presenti impianti dentali o protesi
- si soffre di bruxismo (digrignamento dei denti)
I controlli periodici permettono al dentista di monitorare la situazione nel tempo e intervenire rapidamente in caso di necessità.
La visita dentistica è semplice e non dolorosa
Molte persone rimandano la visita dal dentista perché temono che possa essere dolorosa o fastidiosa. In realtà la visita odontoiatrica è una procedura semplice, rapida e completamente indolore.
Durante il controllo il dentista esamina attentamente la bocca per verificare lo stato di salute di denti e gengive.
Generalmente la visita comprende:
- il controllo dei denti
- una valutazione sullo stato di salute delle gengive
- l’analisi dell’occlusione (come combaciano i denti)
- il controllo di eventuali otturazioni, protesi o impianti effettuati precedentemente
- la valutazione dell’igiene orale
Se necessario il dentista può consigliare radiografie o altri esami per approfondire la diagnosi.
Al termine della visita il paziente riceve indicazioni personalizzate su come migliorare la propria igiene orale e mantenere i denti sani nel tempo e qualora fosse necessario gli eventuali iter terapeutici da seguire.
Non solo denti: la salute della bocca è collegata alla salute generale
La bocca rappresenta una porta di accesso per molte condizioni che possono influenzare l’intero organismo. Negli ultimi anni numerosi studi scientifici hanno evidenziato una stretta relazione tra salute orale e salute generale.
Problemi gengivali non trattati, ad esempio, possono essere associati a condizioni sistemiche come:
- malattie cardiovascolari
- diabete
- infezioni croniche
- complicazioni in gravidanza
Durante una visita odontoiatrica il dentista può individuare segnali che potrebbero essere collegati ad altre condizioni mediche.
Per questo motivo il controllo dal dentista non riguarda solo i denti, ma rappresenta anche un importante momento di prevenzione per la salute generale.

I segnali che indicano che è il momento di fare una visita
Anche se i controlli periodici sono fondamentali, esistono alcuni segnali che indicano che è importante prenotare una visita il prima possibile.
Tra i sintomi più comuni troviamo:
- sanguinamento delle gengive
- sensibilità ai denti
- dolore durante la masticazione
- alito cattivo persistente
- macchie o cambiamenti nel colore dei denti
- mobilità dentale
In presenza di uno di questi segnali è importante non rimandare la visita dal dentista.
Un controllo tempestivo permette di individuare la causa del problema e trovare la soluzione più adatta.
La prevenzione permette anche di risparmiare
Un altro aspetto spesso sottovalutato riguarda il risparmio economico legato alla prevenzione.
Intervenire su un problema nelle fasi iniziali è generalmente molto più semplice — e meno costoso — rispetto a curarlo quando è già avanzato.
Ad esempio, una piccola carie può essere trattata con una semplice otturazione, mentre una carie trascurata può richiedere una devitalizzazione e, nei casi più complessi, anche una corona. Allo stesso modo, una gengivite non curata può evolvere nel tempo in parodontite, con conseguenze più serie sia dal punto di vista clinico che economico.
Questa evidenza clinica è confermata anche dalla letteratura scientifica. Diversi studi pubblicati su PubMed hanno analizzato il rapporto tra visite di prevenzione e costi odontoiatrici nel tempo.
Uno studio molto citato, “Effectiveness of preventive dental visits in reducing nonpreventive dental visits and expenditures”, ha evidenziato che i pazienti che effettuano controlli periodici hanno un numero significativamente inferiore di interventi non preventivi (come cure urgenti o trattamenti complessi) e una riduzione dei costi associati a queste prestazioni.
Un’altra ricerca, “Examining the cost-effectiveness of early dental visits”, ha dimostrato che le visite preventive precoci sono associate a una minore necessità di trattamenti restaurativi nel tempo, soprattutto nei pazienti a maggior rischio di sviluppare patologie dentali.
Inoltre, studi su larga scala come “Estimating the Cost Savings of Preventive Dental Services” hanno evidenziato che interventi preventivi (come fluoroprofilassi e sigillature) possono portare a una riduzione significativa della spesa sanitaria complessiva nel lungo periodo.
Questo significa che effettuare controlli regolari dal dentista non solo aiuta a mantenere la bocca sana, ma permette anche di evitare trattamenti più complessi, invasivi e costosi.
In altre parole, la prevenzione dentale non è una spesa, ma un vero e proprio investimento sulla propria salute: consente di ridurre i rischi, mantenere nel tempo denti e gengive in salute e, allo stesso tempo, gestire in modo più intelligente e sostenibile i costi delle cure odontoiatriche.

La salute del sorriso parte dalle abitudini quotidiane
Oltre alle visite periodiche dal dentista, la salute orale dipende anche dalle abitudini quotidiane.
Una corretta igiene orale dovrebbe includere:
- spazzolare i denti almeno due volte al giorno
- utilizzare il filo interdentale o lo scovolino
- effettuare sedute periodiche di igiene dentale professionale
- seguire una dieta equilibrata riducendo il consumo di zuccheri
Combinare una buona igiene orale con controlli regolari dal dentista è il modo migliore per mantenere denti sani e un sorriso luminoso nel tempo. La visita dentistica inoltre rappresenta una buona occasione per valutare le proprie abitudini e chiedere consiglio al dentista sulle manovre di igiene orale domiciliare.
10 buoni motivi per fare una visita dal dentista regolarmente
Molte persone rimandano il controllo odontoiatrico finché non compare dolore. In realtà effettuare visite periodiche dal dentista è uno dei modi più efficaci per proteggere la salute della bocca e prevenire problemi futuri.
Ricapitolando ecco quindi 10 buoni motivi per prenotare una visita dentistica regolare.
1. Individuare le carie prima che causino dolore
Le carie nelle fasi iniziali spesso non provocano sintomi. Durante una visita di controllo il dentista può individuarle precocemente e trattarle con interventi semplici.
2. Prevenire le malattie delle gengive
Gengivite e parodontite possono svilupparsi lentamente senza segnali evidenti. Controlli periodici permettono di monitorare la salute delle gengive ed evitare problemi più seri.
3. Controllare placca e tartaro
L’accumulo di placca e tartaro può favorire carie e infiammazioni gengivali. Durante la visita il dentista può valutare la necessità di una seduta di igiene professionale.
4. Verificare lo stato di otturazioni e protesi
Vecchie otturazioni o corone possono usurarsi nel tempo. Il controllo periodico permette di verificare che siano ancora perfettamente funzionali.
5. Intercettare problemi di occlusione
Una visita dentistica permette anche di valutare il modo in cui i denti combaciano tra loro. Problemi di occlusione possono causare usura dentale, mal di testa o disturbi dell’articolazione mandibolare.
6. Individuare segni di bruxismo
Molte persone digrignano i denti durante la notte senza rendersene conto. Il dentista può riconoscere i segni di bruxismo e consigliare soluzioni per proteggere i denti.
7. Mantenere il sorriso sano e luminoso
Controlli regolari aiutano a mantenere denti sani, prevenire macchie e preservare l’estetica del sorriso.
8. Evitare trattamenti più complessi
Intervenire precocemente permette spesso di evitare cure più invasive come devitalizzazioni o interventi parodontali.
9. Risparmiare nel lungo periodo
La prevenzione è sempre meno costosa rispetto al trattamento di problemi avanzati.
10. Proteggere la salute generale
La salute orale è strettamente collegata alla salute generale dell’organismo. Controlli regolari aiutano a prevenire problemi che potrebbero influenzare anche altre condizioni di salute.
Prenota una visita nel nostro studio dentistico a Sinalunga
Prendersi cura della propria bocca è una scelta importante per la salute e il benessere quotidiano.
Effettuare una visita dentistica periodica permette di prevenire molti problemi e mantenere denti e gengive in salute nel tempo.
Se è passato molto tempo dal tuo ultimo controllo, questo potrebbe essere il momento giusto per prenotare una visita.
Nel nostro studio dentistico a Sinalunga siamo sempre disponibili ad accogliere i pazienti e a offrire controlli accurati per monitorare la salute della bocca e individuare tempestivamente eventuali problemi.
La prevenzione è il primo passo per proteggere il tuo sorriso. Vieni a conoscere il nostro Team!
FAQ
La visita dal dentista fa male?
No. La visita odontoiatrica è un controllo semplice e completamente indolore. Serve principalmente per valutare lo stato di salute di denti e gengive.
Quanto dura una visita odontoiatrica?
Una visita di controllo generalmente dura dai 30 ai 40 minuti, durante i quali il dentista valuta lo stato di denti e gengive, effettua foto o scansioni delle arcate e qualora fossero necessari esami radiografici per fornire eventuali indicazioni terapeutiche.
Quando bisogna prenotare una visita dal dentista?
È consigliabile prenotare una visita se è passato più di un anno dall’ultimo controllo oppure se si avvertono sintomi come dolore, sensibilità dentale o sanguinamento delle gengive.
È importante fare visite dal dentista anche se non ho dolore?
Sì. Molti problemi dentali nelle fasi iniziali non provocano dolore. I controlli periodici permettono di individuarli prima che diventino più seri.
Se è passato molto tempo dal tuo ultimo controllo, questo è il momento giusto per prenderti cura del tuo sorriso.
Prenota la tua Visita Dentistica a Sinalunga
Prenotare una visita è il primo passo per mantenere il sorriso sano nel tempo.